Comprometido con mejorar su calidad de vida

Hernia de Disco Lumbar

Ver Hernia Discal Cervical

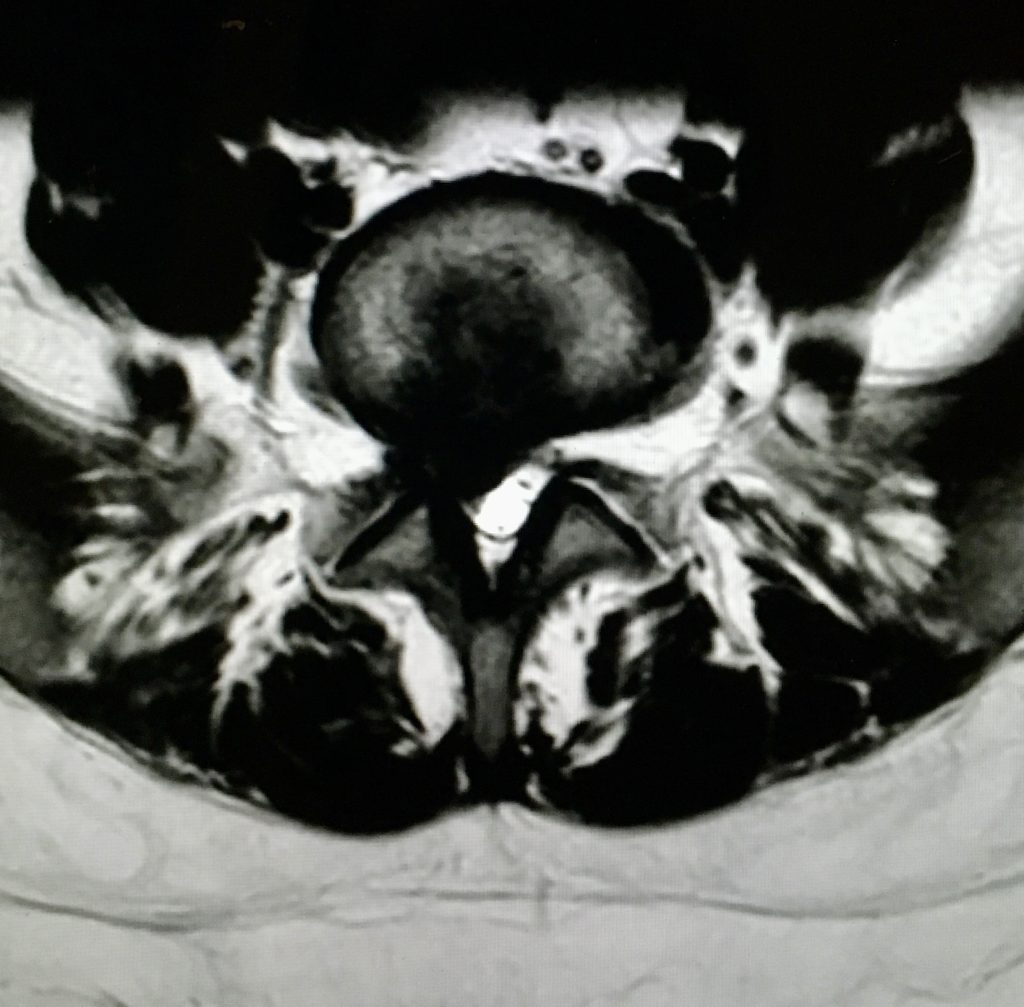
Cuando hablamos de hernia discal lumbar nos referimos a un fragmento de disco intervertebral, que extruido a través de una rotura del anillo discal, comprime una raíz nerviosa lumbar, provocando con su irritación dolor radicular tipo ciático. La cirugía consiste precisamente en la retirada de este fragmento discal del canal, consiguiendo de ese modo liberar la raíz nerviosa atrapada y el alivio de los síntomas. La cirugía realiza de forma mínimamente invasiva, ya sea utilizando el microscopio (microdiscectomía), o empleando técnicas aún menos invasivas como la endoscopia de columna.

En casos concretos de hernias seleccionadas y lesiones discales por rotura discal, la discoplastia por láser puede ofrecer resultados satisfactorios de alivio del dolor. En hernias recidivadas, de gran tamaño o asociadas a degeneración discal muy evolucionada la fusión lumbar o el reemplazo por una prótesis de disco puede estar indicado

¿Quiénes pueden beneficiarse?

La microdiscectomía esta indicada en pacientes con hernia discal lumbar y ciática persistente. La cirugía debe considerarse si después de 6 a 8 semanas de tratamiento conservador (que incluye analgésicos ,infiltraciones epidurales o foraminales y tratamiento de radiofrecuencia perineural) no se lograse un alivio de los síntomas.Si el dolor y la discapacidad del paciente son graves, se puede considerar una cirugía antes de este período.

Síntomas de alarma son el entumecimiento, hormigueo y debilidad en los músculos, que pueden indicar una compresión más grave que necesitaría de una actuación de urgencia.

¿Cómo se realiza?

En esta cirugía se extrae del canal espinal el material discal que está comprimiendo la raíz nerviosa. Una microdiscectomía se realiza mediante una pequeña incisión (de 3 a 4 cm) en la línea media de la espalda. La cirugía endoscopia utiliza incisiones de menos de 1 cm, lo que permite acortar los tiempos de recuperación y baja laboral. En determinados casos seleccionados, la discoplastia lumbar con sonda láser se realiza mediante la punción del disco, sin realizar herida quirúrgica.

¿Cómo es el postoperatorio?

Habitualmente se autoriza levantarse e iniciar la deambulación el mismo día tras la cirugía. Los pacientes pueden ser dados de alta del hospital a las 24h, siendo autónomos para las actividades de la vida diaria. Se recomienda el uso de una faja lumbar durante el primer mes. Las suturas se retiran entre los 10-14 días y el paciente sigue la rehabilitación de forma ambulatoria. El paciente puede volver a realizar una vida normal entre uno y tres meses después de la cirugía.